Metamorfozy Pacjentów implantologicznych
W Poradni Stomatologii i Implantologii Michała Posturzyńskiego dokonujemy rewolucyjnych przemian w estetycznej stomatologii. Pacjenci mogą liczyć na kompleksową opiekę i indywidualnie dostosowane rozwiązania.
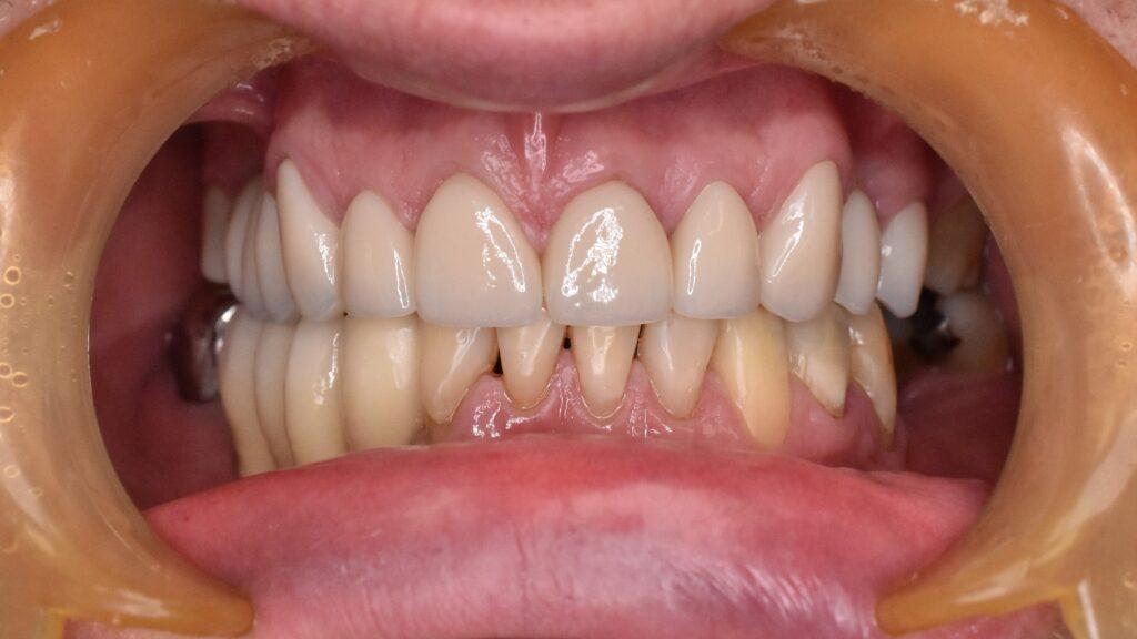
Zapraszamy do zapoznania się z przypadkami naszych Pacjentów, którzy dzięki naszym rozwiązaniom implantologicznym odzyskali piękny i zdrowy uśmiech.


Nierzadko trafiają do nas Pacjenci, którzy uszkodzili bądź stracili ząb na skutek urazu mechanicznego. Tak też było w tym przypadku, gdy Pacjentka wybiła przednie zęby podczas wypadku na rowerze. Jedynki odbudowaliśmy za pomocą implantów i koron cyrkonowych. Efekt? Nasza Pacjentka znowu może się swobodnie uśmiechać.


Utrata zębów to nie tylko spory dyskomfort ale także pogorszenie funkcji takich jak gryzienie czy artykułowanie słów. Nasi Pacjenci to rozumieją i dlatego decydują się na odbudowę swojego uzębienia. W tym przypadku dokonaliśmy odbudowy zębów górnych za pomocą koron cyrkonowych. Z kolei w dolnym łuku wszczepiliśmy trzy implanty. Tym samym zyskaliśmy bazę do naprawy całego uzębienia.


Metody odbudowy uzębienia naszych Pacjentów dobieramy zawsze indywidualnie do ich potrzeb i oczekiwań. W tym przypadku, by przywrócić pełnię uśmiechu oraz wszystkie funkcje zdecydowaliśmy się na zastosowanie mostu na czterech implantach metodą all-on-4. Przeszliśmy więc przez wszczepienie implantów a następnie mogliśmy zamontować most okrężny. Tym samym nasza Pacjentka odzyskała swój uśmiech.


Czy to możliwe, by odzyskać swój uśmiech w jeden dzień? W naszym gabinecie przeprowadzamy takie zabiegi. W tym przypadku zastosowaliśmy natychmiastową odbudowę protetyczną na czterech implantach i konstrukcji spawanej. Tym sposobem szybko i sprawnie przywróciliśmy pełne uzębienie naszemu Pacjentowi w ciągu jednego dnia.


Pacjentka straciła czwórkę. Wykorzystaliśmy w tym celu implant z koroną cyrkonową oraz indywidualnie frezowany łącznik. Tym samym zarówno estetyka, jak i prawidłowa funkcja jamy ustnej zostały przywrócone.


Nasze leczenie zawsze dostosowane jest do potrzeb Pacjentów. Czasem składa się ono z kilku kroków. Tak właśnie było w tym przypadku. Pierwszym krokiem w celu przywrócenia pożądanego uśmiechu było usunięcie niekosmetycznych zębów przednich. Jednocześnie wszczepiliśmy implanty i przeszliśmy do odbudowy protetycznej. Efekt? Całkowita, pozytywna odmiana uśmiechu Pacjenta.


Braki w uzębieniu to poważny problem dla jamy ustnej, a także ogólnego komfortu funkcjonowania Pacjenta. Zwłaszcza, gdy brakuje wielu zębów w łuku. Tak też było w tym przypadku, gdzie przystąpiliśmy do odbudowy protetycznej za pomocą pracy zdejmowalnej. Wykorzystaliśmy w tym celu możliwość wszczepienia implantów i belkę Atlantis. Tym samym udało nam się sprawnie odbudować pełny uśmiech, który teraz towarzyszy Pacjentowi.


Co w momencie gdy przedni ząb się rusza? Niestety czasem konieczne jest jego usunięcie. Tak tez było w tym przypadku, gdy musieliśmy taki krok wykonać. Pacjent nie został jednak z nieestetyczną przerwą w uzębieniu. Przeprowadziliśmy u niego odbudowę na implancie z koroną cyrkonową. Tym samym problem został rozwiązany, a pełny uśmiech przywrócony.


Braki w uzębieniu to problem nie tylko z estetyką, ale przede wszystkim z zachowaniem prawidłowych funkcji jamy ustnej. Trudne staje się rozdrabnianie pokarmów oraz swobodne wymawianie wyrazów. Dlatego też zachęcamy do odbudowy uzębienia tak, jak miało to miejsce w przypadku naszego Pacjenta. Wykorzystaliśmy tutaj kosmetyczny most cyrkonowy na zębach własnych, a także na wstawionych implantach. Dzięki temu udało nam się przywrócić pełny zgryz.


Pacjenci, którzy się do nas zgłaszają z brakami w uzębieniu liczą na szybką odbudowę uśmiechu. Na szczęście możemy im ją zapewnić. W tym przypadku skorzystaliśmy z korony cyrkonowej na indywidualnie frezowanym łączniku. Dzięki temu Pacjent, który stracił jedynkę na skutek urazu mechanicznego odzyskał ją i tym samym jego uśmiech znowu jest pełny.


Pacjent zgłosił się do nas, ponieważ stracił jedynkę na skutek złamania korzenia. Przystąpiliśmy więc do odbudowy uśmiechu wykorzystując w tym celu koronę cyrkonową oraz indywidualnie frezowany łącznik. Tym sposobem Pacjent odzyskał pełne uzębienie i swobodę uśmiechu.


Pacjent trafił do nas z bezzębiem. Podjęliśmy więc kroki, które w efekcie miały zapewnić przywrócenie mu pełnego uśmiechu oraz pełnię funkcji jamy ustnej. Zdecydowaliśmy się na odbudowę uzębienia przy pomocy wszczepionych implantów. Wykorzystaliśmy technikę all-on-4, a także mosty porcelanowe w żuchwie. Tym samym osiągnęliśmy upragnione przez Pacjenta rezultaty.


Pacjent trafił do nas, ponieważ chciał odbudować braki w swoim uzębieniu. Do tej pory użytkował protezę, ale nie było to dla niego optymalne rozwiązanie. Przystąpiliśmy więc do działania. Zdecydowaliśmy się na odbudowę uzębienia na czterech implantach. Uzyskany efekt pozwolił Pacjentowi odzyskać pełny uśmiech i zrezygnować z wspomnianej protezy.
