Nowoczesne Technologie Rewolucjonizują Leczenie stomatologiczne
W dzisiejszym świecie stomatologii technologia odgrywa kluczową rolę w podnoszeniu standardów leczenia. Skanery wewnątrzustne rewolucjonizują sposób, w jaki odwzorowujemy jamę ustną, eliminując potrzebę tradycyjnych, często niewygodnych wycisków. Lasery, z ich precyzją i minimalnym wpływem na otaczające tkanki, otwierają nowe możliwości w leczeniu próchnicy, chorób dziąseł oraz w estetycznych zabiegach poprawiających uśmiech, często redukując ból i przyspieszając proces gojenia.

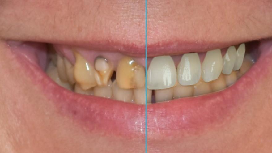
Cyfrowe projektowanie uśmiechu (DSD) przekształca wizję Pacjenta i lekarza w precyzyjny, personalizowany plan leczenia, wykorzystując zaawansowane oprogramowanie do wizualizacji oczekiwanych rezultatów. Leczenie pod mikroskopem z kolei zapewnia niezrównaną dokładność w diagnostyce i terapii, pozwalając na wykrywanie i leczenie problemów na poziomie, który był niegdyś poza zasięgiem wzroku. Razem, te technologie nie tylko ulepszają wyniki leczenia, ale także znacząco poprawiają komfort Pacjenta, otwierając nowy rozdział w opiece stomatologicznej.
Fotografia stomatologiczna
Projektowanie uśmiechu przeprowadza się w oparciu o wygląd twarzy. Ustawienie i wygląd zębów muszą współgrać z wyglądem twarzy, dlatego w pracach protetycznych wykonujemy Pacjentom szereg fotografii, aby nowe zęby podkreślały piękno twarzy.

ZAPISZ SIĘ NA KONSULTACJĘ
W Specjalistycznej Poradni Stomatologii i Implantologii Michała Posturzyńskiego leczymy kompleksowo i z dbałością o komfort Pacjenta.
ZAPISZ SIĘ NA KONSULTACJĘ
W Specjalistycznej Poradni Stomatologii i Implantologii Michała Posturzyńskiego leczymy kompleksowo i z dbałością o komfort Pacjenta.
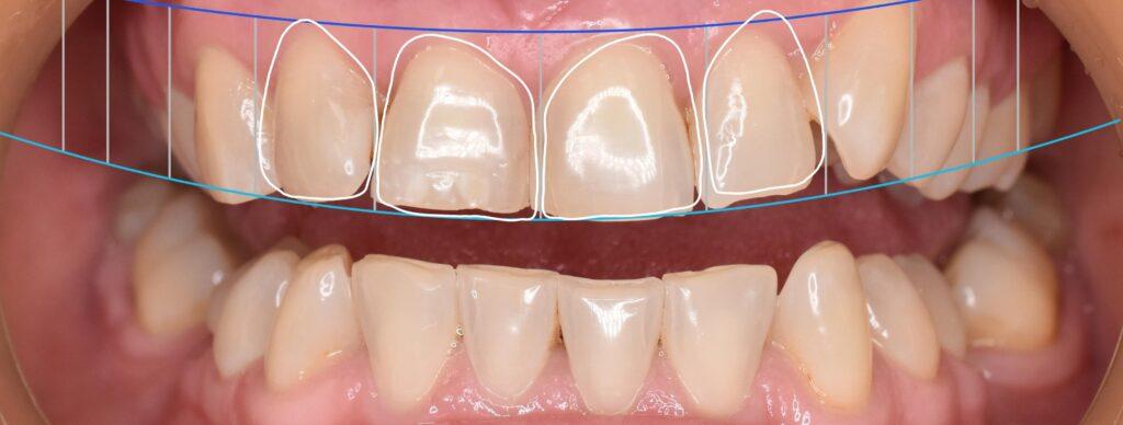
CYFROWE PROJEKTOWANIE UŚMIECHU (DSD – digital smile design)
Stosujemy też innowacyjny komputerowy program, który pozwala zaprojektować docelowy wygląd zębów jeszcze przed rozpoczęciem leczenia. Na postawie zdjęcia wykonujemy wizualizację planowanego efektu leczenia, projektując go bardzo starannie przy wzięciu pod uwagę tego, jak nowy uśmiech będzie się komponował z rysami twarzy Pacjenta i jego charakterem. Uzyskany obraz prezentujemy na ekranie komputera. Na życzenie Pacjenta możemy także przygotować mock-up, czyli nakładki na zęby, które symulują planowany wygląd nowego uśmiechu. W ten sposób Pacjent ma okazję przymierzyć swoje przyszłe zęby i zobaczyć, jak będzie się z nimi prezentował.





Skaner wewnątrzustny
Skaner wewnątrzustny odwzorowuje stan jamy ustnej na ekranie komputera w formie trójwymiarowego obrazu w dużym powiększeniu, co pozwala na bardzo dokładne wykonanie uzupełnień protetycznych – koron, mostów czy prac na implantach. W przeciwieństwie do wycisków skanowanie nie powoduje żadnego ucisku na tkanki dzięki temu prace protetyczne nie drażnią tkanek miękkich.

Frezowane korony I mosty
Skan przesyłany jest do naszego laboratorium protetycznego. Technik dentystyczny w programie komputerowym projektuje, a następnie frezuje się z cyrkonu uzupełnienie protetyczne na specjalnych protetycznych frezarkach CNC. Cały proces odbywa się bez wycisków i odlewania modeli gipsowych.


Frezowane łączniki do implantów
Łącznik to składowa zęba uzupełnianego implantem. Znajduje się w dziąśle – między implantem, a koroną protetyczną. W naszej poradni łączniki wykonujemy indywidualnie, na podstawie skanu kształtu dziąsła frezujemy kompatybilny z implantem łącznik. Dobrze dopasowany łącznik zapewnia zdrowie dziąsła, a zdrowe dziąsło trwałość implantu.


cyfrowe planowanie implantów i drukowane szablony
W naszej poradni przed wszczepieniem implantu/ów wykonujemy Pacjentom skan i tomografię. W specjalnym programie komputerowym łączymy obrazy – widzimy zęby, dziąsło i kość. Dzięki temu dokładnie można zaplanować położenie implantów. Plan realizuje się przenosząc go do ust za pomocą szablonu 3D. Szablon posiada prowadnice, które umożliwiają wszczepienie implantu zgodnie z projektem.



LECZENIE POD MIKROSKOPEM
Leczenie stomatologiczne pod mikroskopem zrewolucjonizowało leczenie kanałowe. Dzięki mikroskopowi lekarz endodonta widzi wnętrze zęba, widzi ujścia i kanały korzeniowe. Leczenie kanałowe bez mikroskopu jest leczeniem na ślepo. Leczenie mikroskopowe jest leczeniem pod kontrolą wzroku.
Zalety leczenia pod mikroskopem w endodoncji to:
- Zwiększona precyzja: umożliwia lekarzowi dokładne rozpoznawanie budowy zęba, odnajdywanie i leczenie kanałów korzeniowych
- Lepsza jakość leczenia: precyzyjne eliminowanie chorej tkanki przy minimalnej interwencji w zdrowe obszary zęba przekłada się na wyższą jakość leczenia i lepsze prognozy dla zachowania zębów.
- Mniejszy dyskomfort Pacjenta: dokładność zabiegów wykonanych z pomocą mikroskopu często oznacza mniej inwazyjne leczenie, co redukuje ból i dyskomfort Pacjenta podczas i po zabiegu.
- Szybsza regeneracja: mniejsze uszkodzenie zdrowych tkanek i precyzyjne leczenie sprzyjają szybszej regeneracji i gojeniu.
- Wzrost zaufania Pacjentów: gdy odnalezione są wszystkie kanały, gdy są skutecznie wyczyszczone i szczelnie wypełnione leczenie kanałowe okazuje się skuteczne, a zęby przestają boleć.
Wykorzystanie mikroskopu w stomatologii stanowi ogromny krok naprzód w diagnostyce i terapii, oferując Pacjentom najwyższy poziom opieki – więcej w zakładce endodoncja.

LECZENIE LASEREM
Laser diodowy to najnowocześniejsze urządzenie medyczne przeznaczone do wykonywania zabiegów stomatologicznych.
Dzięki specjalnie zaprojektowanym systemom optycznym, diodom i modułom laserowym o różnych długościach fali (635nm, 810nm lub 980nm) jak również wyposażeniu w elastyczny, cienki światłowód kwarcowy z szerokim wyborem rękojeści zabiegowych gwarantuje unikalny zakres zastosowań w kontaktowej mikrochirurgii.
Laserowe precyzyjne hemostatyczne nacięcia przy kontrolowanej koagulacji umożliwiają wykonanie takich zabiegów i czynności jak:
- korekta kształtu dziąseł, przerostów dziąseł, usuwanie włókniaków;
- korekta i wycinanie wędzidełek;
- przygotowanie przedprotetyczne, usuwanie przerostów bł. śluzowej;
- odsłanianie implantów;
- hamowanie krwawienia;
- zmniejszanie bólu pozabiegowego;
- leczenie suchego zębodołu i trudno gojących się zębodołów;
- tamowanie krwawienia po ekstrakcji zęba i zabiegach chirurgicznych.
Laser zapewnia bezbolesne oraz szybkie zabiegi, a także zauważalnie szybszy czas gojenia i mniejsze ryzyko powikłań!

Dowiedz się więcej
Jeżeli chcesz dowiedzieć się więcej o diagnostyce, zapraszamy do Specjalistycznej Poradni Stomatologii i Implantologii Michała Posturzyńskiego. Na wizytę możesz się umówić, dzwoniąc pod numer 32 307 57 85 lub wypełniając formularz.
Na podstawie art. 32c ust. 2 ustawy Prawo atomowe (Dz. U. z 2019 r., poz. 1792, z późn. zm.), informuję, że w jednostce organizacyjnej:
wykonywana jest działalność związana z narażeniem na promieniowanie jonizujące,
polegająca na:
- uruchamianiu i stosowaniu urządzeń wytwarzających promieniowanie jonizujące
- Aparat stomatologiczny do zdjęć punktowych MyRay RX DC firmy Cefla S.C.
- Aparat pantomograficzny CS 8100 3D firmy Carestream
- uruchamianiu pracowni, w których mają być stosowane źródła promieniowania jonizującego, w szczególności pracowni rentgenowskich lub medycznych pracowni rentgenowskich
- Pracownia rentgenowska
Dla jednostki zostały wydane decyzje zezwalające na uruchomienie i stosowanie aparatu rtg oraz na uruchomienie pracowni rtg /organ wydający, nr decyzji, data wydania/
- Decyzja nr 254/2013 z dnia 26-07-2013– Śląski Wojewódzki Inspektor Sanitarny
- Decyzja nr 484/2019 z dnia 25-10-2019– Śląski Wojewódzki Inspektor Sanitarny
oraz zgoda na prowadzenie działalności związanej z narażeniem na promieniowanie
jonizujące w celach medycznych polegającej na udzielaniu świadczeń zdrowotnych z zakresu badań rentgenodiagnostycznych/radiologii zabiegowej* /organ wydający, nr decyzji, data wydania – nie dotyczy
Na podstawie art. 17 ust. 1 ustawy Prawo atomowe, w celu dostosowania sposobu oceny zagrożenia do jego spodziewanego poziomu, pracownicy jednostki organizacyjnej zostali zaliczeni do kategorii B narażenia. Ocena narażenia pracowników prowadzona jest na podstawie: systematycznych pomiarów dawek indywidualnych dozymetrycznych w sposób pozwalający stwierdzić prawidłowość zaliczenia pracowników do tej kategorii.
W przeciągu ostatnich 12 miesięcy nie stwierdzono przekroczenia dawek granicznych
określonych dla pracowników. W dniu 11-07-2012 przeprowadzono pomiary dozymetryczne rozkładu mocy dawki promieniowania jonizującego X wokół aparatu rtg MyRay RX DC firmy Cefla S.C. podczas których potwierdzono, że konstrukcja ścian, stropów, okien, drzwi oraz zainstalowane urządzenia ochronne w pracowni rtg zabezpiecza osoby pracujące, osoby z ogółu ludności przebywające w sąsiedztwie, a także osoby z ogółu ludności w przypadku pracowni rtg znajdującej się w budynku mieszkalnym przed otrzymaniem w ciągu roku dawek określonych w § 2 i § 3 ust. 1 rozporządzenia Ministra Zdrowia z dnia 21 sierpnia 2006 r. (Dz. U. Nr 180, poz. 1325).
Kierownik jednostki organizacyjnej zapewnia wykonywanie działalności związanej z narażeniem zgodnie z zasadą optymalizacji wymagającą, żeby – przy rozsądnym uwzględnieniu czynników ekonomicznych i społecznych oraz aktualnego stanu wiedzy technicznej – liczba narażonych pracowników i osób z ogółu ludności oraz prawdopodobieństwo ich narażenia były jak najmniejsze, a otrzymywane przez nich dawki promieniowania jonizującego były możliwie małe.
Na podstawie powyższych informacji stwierdza się, że działalność w minionych 12 miesiącach nie miała negatywnego wpływu na zdrowie ludzi i środowisko. W związku z wykonywaniem wyżej opisanej działalności do środowiska nie są uwalniane substancje promieniotwórcze.
Ustawa z dnia 29 listopada 2000 r. – Prawo Atomowe zgodnie nowelizacją z art. 7 ustawy z dnia 13 czerwca 2019 r. o zmianie ustawy – Prawo atomowe oraz
ustawy o ochronie przeciwpożarowej (Dz.U. z 2019 r. poz. 1593)
I. Wykaz źródeł promieniowania
Jednostka wyposażona w aparaty RTG (lampy rentgenowskie):
- Stomatologiczny punktowy MyRay RX DC firmy Cefla S.C.
- antomograf CS 8100 3D firmy Carestream
Jednostka posiada zaopiniowane projekty osłon stały i zezwolenia na uruchomienie następujących pracowni.
Udokumentowane pomiary rozkładu mocy dawki promieniowania jonizującego w otoczeniu aparatu.
II. Gabinet Stomatologiczny RTG w/w jednostce jest terenem nadzorowanym.
Teren ten ogranicza się do pomieszczeń zgodnie z projektem osłon stałych : Gabinet RTG .
W trakcie wykonywania ekspozycji mogą przebywać tylko osoby zatrudnione w jednostce i zakwalifikowane do kategorii „B” oraz Pacjent.
Teren ten jest zabezpieczony przed niespodziewanym wejściem osób postronnych/ drzwi otwierają się klamką od wewnątrz.
W Jednostce prowadzona jest dozymetria indywidualna proponowane ograniczniki dawek do 6 mSv na rok.
Personel zakwalifikowany do kategoria narażeni „B”.
Z wyników dozymetrii indywidualnej za okres 1.01. 2021 do 31.12. 2021 r – brak wskazań do zmiany kategorii narażenia .
Ewidencja dawek po uzyskaniu odczytów z bieżącego okresu pomiarowego – zostanie przekazana do kierownika jednostki.
Personel zakwalifikowany do dozymetrii indywidualnej na bieżąco informowany o otrzymanych wynikach
Personel na posiada aktualne szkolenie w zakresie
Dokumenty wymagane przepisy aktualizowane na bieżąco / personel potwierdzał zapoznanie
- wykaz aktów prawnych
- zakładowy plan postępowania awaryjnego
- program zapewnienia jakością
