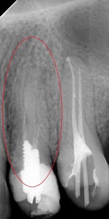
Skuteczność leczenia kanałowego – przykłady z naszego leczenia
Leczenie kanałowe jest leczeniem skutecznym. Prawidłowe leczenie kanałowe sprawia, że ząb przestaje być ogniskiem zakażenia, a tkanki wokół goją się. Wyleczenie zęba powoduje, że przyczyna choroby tkanek około zębowych [na RTG widzimy jedynie chorobę kości] zostaje usunięta. Eliminacja przyczyny choroby umożliwia gojenie się zmian chorobowych.
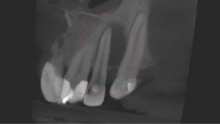
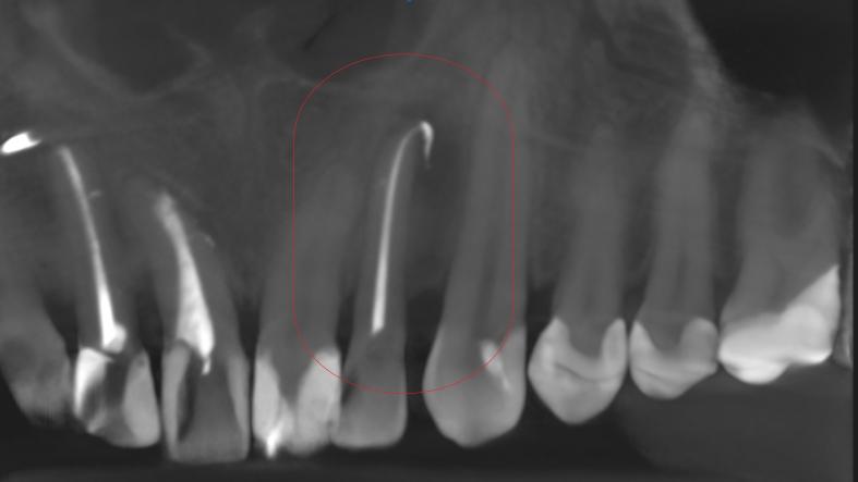
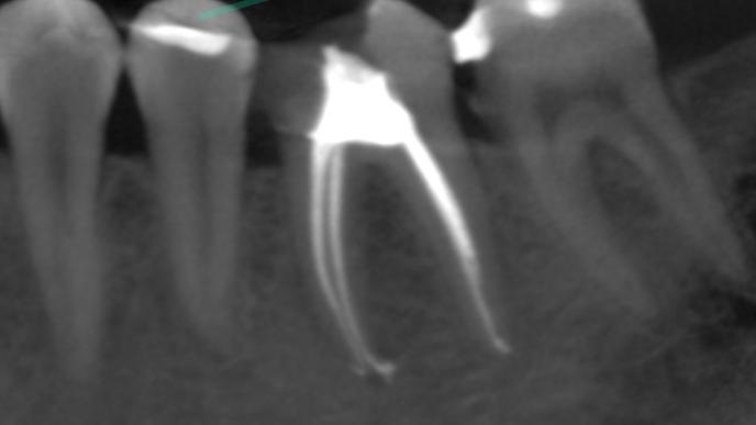
Na poniższych zdjęciach RTG – WIDAĆ GOJENIE ZMIAN ZAPALNYCH KOŚCI.
Nie jest prawdą, że leczenie kanałowe w każdym przypadku jest szkodliwe. Ogniskami zakażenia są zęby martwe, nieprzeleczone kanałowo, zęby z nieprawidłowym leczeniem kanałowym i to właśnie one są zagrożeniem i powinny być eliminowane.
W naszej poradni leczenie prowadzą lekarze endodonci, doświadczeni w leczeniu kanałowym, jakość leczenia podnosi stosowanie mikroskopu oraz kontrola radiologiczna. Nasz tomograf umożliwia uwidocznienie kanałów oraz sprawdzenie jakości ich wypełnienia.




































